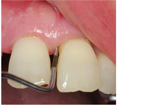
GAME OVER 0% Report a question What's wrong with this question? You cannot submit an empty report. Please add some details. 12345678910111213141516171819202122232425262728293031323334353637383940414243444546 502 endo-perio Mid-Term 120 SBA in 120 Minutes Game over 1 / 46 A patient with a history of periodontitis has significant mid-buccal recession on their canine teeth due to historic traumatic toothbrushing. The areas are stable with no inflammation or pocketing, but the patient is concerned about the appearance. Which of the following is the most appropriate initial advice and management? Refer the patient for surgical grafting procedures to cover the exposed roots. Monitor the recession using clinical photographs or study models and manage any associated sensitivity Advise the patient to stop brushing the area to prevent further recession. Place composite restorations to cover the entire exposed root surface. 2 / 46 A 68-year-old patient with a history of periodontitis presents with a mobile lower central incisor (tooth 41). The tooth has 70% bone loss, a 9mm pocket, and Grade 3 mobility. The patient is keen to save the tooth if possible. You are assessing the tooth's prognosis. Which of the following patient-related factors is most critical in determining whether this tooth can be retained, even in the short to medium term? The patient's ability and motivation to perform exceptional plaque control around the tooth. The strategic value of the tooth. The patient's age. The patient's socio-economic status. 3 / 46 A patient with peri-implantitis around tooth 11 is referred back to the specialist who placed it. The specialist performs surgical treatment and discharges the patient back to your care for maintenance. What is the most vital element for ensuring the long-term success of the treated implant? The patient avoiding chewing on the implant crown. Polishing the implant crown with prophylactic paste every 3 months. The patient taking a course of antibiotics every year to prevent reinfection. Excellent communication between the specialist and your practice, and the patient's adherence to a strict maintenance schedule. 4 / 46 A patient with generalized gingivitis (BoP 40%, no pockets >3mm) is reviewed 6 weeks after receiving oral hygiene instruction based on the Oral Hygiene TIPPS model and a full mouth PMPR. Her plaque score has improved from 60% to 25%, and her BoP score has reduced to 15%. According to the 2018 Classification, what is her current periodontal diagnosis? Stable Periodontitis Generalized Gingivitis Localized Gingivitis Periodontal Health 5 / 46 A 30-year-old patient with a history of generalized Stage IV, Grade C periodontitis is considering dental implants to replace her missing lower molars. She has completed non-surgical periodontal therapy and her disease is now stable, with no pockets >4mm and BoP <10%. She has successfully quit smoking. According to the guidance, what is the most important information to convey to this patient before she proceeds with implant treatment? The success of her implants is guaranteed as her periodontal disease is now stable. Once the implants are placed, they are not susceptible to the same bacteria that caused her periodontitis. She must be aware that she is at an increased risk of peri-implant disease and will require lifelong, rigorous maintenance care. Her history of periodontitis means she is not a suitable candidate for dental implants. 6 / 46 A 70-year-old patient with a history of treated Stage III periodontitis is on a 4-monthly supportive periodontal care (SPC) program. At his last review, his condition was stable, with no pockets >4mm and a bleeding on probing (BoP) score of 8%. Today, you note his BoP score has increased to 25%, and there are now two sites on tooth 36 with probing depths of 5mm that bleed on probing. The patient mentions he has recently been diagnosed with Type 2 diabetes by his GP. His oral hygiene appears to have deteriorated slightly. According to the guidance on managing disease recurrence during supportive care, what is the most appropriate next step? Place a local antimicrobial agent (e.g., minocycline microspheres) into the 5mm pockets at tooth 36 and review in 3 months. Immediately refer the patient to a specialist for surgical management of tooth 36. Conclude that the patient is no longer a suitable candidate for maintenance and move to a palliative care approach. Determine the cause of deterioration, provide reinforcement of oral hygiene, perform PMPR at the affected sites, and discuss the importance of diabetes control. 7 / 46 A 24-year-old patient who is 20 weeks pregnant presents for her first dental examination in three years. She reports that her gums have become swollen and bleed easily when she brushes. She is a non-smoker and has no other relevant medical history. Clinical examination shows generalized gingival erythema and oedema, particularly in the anterior regions. Her BPE scores are 2 in all sextants. There is no evidence of interdental recession, and a review of bitewing radiographs taken three years prior shows no bone loss. Her oral hygiene is fair, with visible plaque along the gingival margins. What is the most appropriate management for this patient according to the guidance? Immediately schedule her for subgingival PMPR under local anaesthetic to prevent progression to periodontitis. Reassure her that the condition is "pregnancy gingivitis" and will resolve on its own after she gives birth, so no treatment is needed. Prescribe a course of metronidazole to control the anaerobic bacteria associated with pregnancy gingivitis. Provide personalized oral hygiene advice, perform PMPR to remove plaque and calculus, and explain that the condition is likely to resolve post-partum with good oral hygiene. 8 / 46 Give a BPE Score According to what you see? BPE 3 BPE 1 BPE 4 BPE 0 9 / 46 A 28-year-old female patient is referred to your practice. She is medically fit and well and is a non-smoker. She has a family history of her mother losing teeth at a young age. Clinical examination reveals generalized deep periodontal pockets, with several sites probing at 8-9mm. There is significant bleeding on probing (>50% of sites) and Grade 2 mobility affecting the upper incisors. Radiographic assessment shows generalized bone loss, with the most severe site at tooth 11 showing approximately 60% bone loss. Based on the 2018 Classification system as described in the guidance, what is the correct diagnosis for this patient? Generalised Periodontitis; Stage III, Grade C; Currently unstable; Risk factor: Family history. Generalised Periodontitis; Stage II, Grade B; Currently unstable; Risk factor: Family history. Generalised Periodontitis; Stage IV, Grade C; Currently unstable; Risk factor: Family history. Aggressive Periodontitis; Localised; Currently unstable; Risk factor: Genetic predisposition. 10 / 46 A dental therapist is treating a patient under a prescription from a dentist for non-surgical periodontal therapy. The patient requires local anaesthesia for subgingival PMPR. There is no Patient Group Direction (PGD) in place at the practice. What must be present in the patient's record for the therapist to legally administer the local anaesthetic? A written Patient Specific Direction (PSD) from the dentist, detailing the drug, dose, and route. The patient's written consent for the therapist to administer anaesthesia. A note from the therapist stating that local anaesthetic is required. A verbal instruction from the dentist on the day of treatment. 11 / 46 When recording a BPE, you find a Grade I furcation on tooth 36 in a sextant where the highest pocket depth score is a 2. How should this be recorded in the BPE chart for that sextant? 3 4* 2 2* 12 / 46 A 40-year-old patient has a BPE score of 4 in the upper left sextant. According to the guidance, what is the immediate requirement for further examination before treatment begins for this sextant? A full mouth 6-point pocket chart should be performed. No further charting is needed until after initial therapy. A CBCT scan of the sextant should be taken. A 6-point pocket chart of only the affected sextant is required 13 / 46 A patient with periodontitis has sub-optimally controlled diabetes. You have provided non-surgical periodontal treatment. What is the key potential systemic benefit for the patient, which should be explained to them and communicated to their medical team? Successful periodontal treatment can lead to improved glycaemic control. Successful periodontal treatment allows them to stop taking their diabetes medication. Successful periodontal treatment will cure their diabetes. Successful periodontal treatment will prevent all future complications of diabetes 14 / 46 A 38-year-old patient with generalized Stage III periodontitis is undergoing non-surgical therapy. He has a Grade I furcation involvement on tooth 16. The patient is concerned and asks if the tooth will need to be extracted. Based on the guidance, what is the most appropriate response and management plan for a tooth with Grade I furcation involvement? Provide non-surgical treatment with the aim of achieving long-term retention, as the prognosis for Grade I furcations is good Advise extraction as Grade I furcations inevitably progress to Grade III and tooth loss Refer for surgical treatment immediately, as non-surgical therapy is ineffective for any furcation involvement. Place a local antibiotic chip into the furcation area as the primary treatment. 15 / 46 A 50-year-old patient has a BPE score of 3 in the upper right sextant. Radiographs are not currently available. What is the minimum requirement for periodontal charting for this sextant according to the guidance? Full 6-point charting of the sextant should be performed before treatment begins. No charting is required, only oral hygiene instruction and PMPR. Full 6-point charting of the affected sextant should be carried out at the post-treatment re-evaluation. Full 6-point charting of the whole mouth should be performed before treatment begins. 16 / 46 A clinician is preparing to perform a full periodontal examination to record 6-point pocket depths. Based on the image provided and the guidance document, what is the specific name of this type of probe? WHO BPE probe UNC 15 probe Implant probe Nabers furcation probe 17 / 46 A practice is reviewing its environmental sustainability. Which of the following principles, advocated by the guidance, contributes most to sustainable healthcare? Recommending all patients use a powered toothbrush as they are more effective. Using disposable instruments to save on sterilisation costs and energy. Prescribing chlorhexidine mouthwash to all patients to reduce the need for mechanical plaque removal. Adopting a risk-based approach to recall intervals to avoid unnecessary appointments and resource use. 18 / 46 A patient with generalized, stable periodontitis asks if they should use a specific toothpaste to help their condition. They have seen advertisements for many "gum health" toothpastes containing agents like stannous fluoride or triclosan. Based on the key recommendations in the guidance, what is the most accurate advice to give this patient? They should use a chlorhexidine-based toothpaste daily for the rest of their life. They should stop using toothpaste altogether and rely on mechanical cleaning with a dry brush They should use a toothpaste with additional active ingredients as this is proven to be more effective than regular fluoride toothpaste for periodontitis. They should use a toothpaste containing 1350-1500 ppm fluoride, but there is insufficient evidence to recommend specific additives for routine control of periodontitis. 19 / 46 A patient with a history of periodontitis is scheduled for implant placement at tooth 46. You have completed non-surgical therapy, and their periodontal condition is now considered stable. According to the guidance, what is the recommended protocol for radiographic monitoring of this new implant? No radiographs are needed unless the patient becomes symptomatic. A panoramic radiograph should be taken annually to monitor all implants and teeth. A bitewing radiograph should be taken at the time of implant placement. A periapical radiograph should be taken at superstructure connection, and another one year later to serve as the new baseline. 20 / 46 You are creating a treatment plan for a 50-year-old patient with generalized Stage III periodontitis. After Step 1 of therapy, the patient's oral hygiene is excellent (plaque score 15%), but multiple 5-6mm pockets remain. You plan to proceed with Step 2 (subgingival PMPR). The patient is anxious about the procedure and asks if there is a "best" way to do it. According to the evidence cited in the guidance, which of the following statements is most accurate regarding the instrumentation for subgingival PMPR? Air polishing devices are the most effective method for subgingival debridement and should be used as a standalone therapy. Hand instruments (curettes) are clinically superior to powered ultrasonic scalers for removing calculus in deep pockets There is no difference in clinical outcomes between powered and manual instruments, so the choice should be based on clinician and patient preference. Powered ultrasonic scalers are clinically superior to hand instruments for achieving reductions in probing depth. 21 / 46 You are conducting a risk assessment for a new patient. Which of the following combinations of factors would place a patient in the HIGHEST risk category for periodontitis progression according to the principles in the guidance? Age 35, smokes >10 cigarettes/day, sub-optimally controlled diabetes, multiple pockets ≥6mm. Age 65, non-smoker, no systemic disease, excellent oral hygiene. Age 50, former smoker (quit 10 years ago), well-controlled diabetes, no pockets >4mm. Age 25, non-smoker, pregnant, generalized gingivitis with no bone loss. 22 / 46 A patient who has just completed Step 2 (subgingival PMPR) therapy complains of new, sharp sensitivity to cold drinks. The sensitivity is localized to the upper premolars where there is now 2-3mm of recession that was not apparent before treatment. According to the guidance, what is the recommended first-line management for this post-PMPR dentine sensitivity? Reassure the patient that this is normal and the sensitivity will disappear on its own within a week. Immediately apply a professionally-applied fluoride varnish to the affected teeth. Prepare the teeth for full coverage crowns to seal the dentinal tubules. Advise the patient to use an at-home desensitizing toothpaste 23 / 46 A 19-year-old male patient presents with intensely painful gums, bad breath, and a general feeling of malaise. He is a heavy smoker (20+ per day) and admits to high levels of stress due to university exams. Clinical examination reveals ulcerated and necrotic interdental papillae between his lower anterior teeth, covered by a greyish pseudo membrane. The affected gums bleed profusely on the slightest touch. There is no attachment loss. What is the most appropriate diagnosis and initial management? Diagnosis: Plaque-induced gingivitis. Management: Perform full mouth PMPR and provide standard oral hygiene instruction. Diagnosis: Necrotizing gingivitis. Management: Perform gentle debridement, prescribe 0.2% chlorhexidine mouthwash, and advise on risk factors (smoking, stress). Diagnosis: Periodontal abscess. Management: Incise and drain the affected papillae. Diagnosis: Acute herpetic gingivostomatitis. Management: Prescribe topical antiviral cream. 24 / 46 A patient is diagnosed with Generalised Periodontitis; Stage III, Grade B; Stable. What do these terms mean clinically? Severe, moderately-progressing disease that is currently not active (BoP <10%, PPD ≤4mm). Moderate, rapidly-progressing disease that is currently in remission. Severe, slow-progressing disease that is currently active with deep pockets. Mild, moderately-progressing disease that is currently unstable 25 / 46 A 14-year-old patient attends for a routine examination. He is in the permanent dentition stage. You perform a simplified BPE on the six index teeth (16, 11, 26, 36, 31, 46). The scores are as follows: 16-2, 11-1, 26-2, 36-3, 31-1, 46-2. What is the most appropriate action based on these BPE findings? Carry out a full 6-point pocket chart for the entire dentition before any treatment. Provide oral hygiene instruction and carry out PMPR on all teeth. Reassure the patient and parents that these scores are normal for a teenager and schedule a routine recall. Refer the patient immediately to a specialist periodontist due to the BPE score of 3. 26 / 46 What is the primary reason the BPE is not considered suitable for the reassessment of a patient following periodontal treatment? It requires the use of a metal probe which can damage healing tissues. It takes too long to perform at a review appointment. It does not provide site-specific information about how individual areas have responded to treatment. It can only be performed by a dentist, not a hygienist or therapist. 27 / 46 You are planning the supportive periodontal care (SPC) schedule for a patient who has just completed active therapy for Stage IV periodontitis. The treatment has been successful in stabilizing the disease, but there are residual 5mm pockets and significant risk factors remain (smoking, complex restorations). What is the most appropriate recall interval for this patient at the beginning of their SPC programmer? Annually for a periodontal review, with 6-monthly hygiene visits. 6 months, which is the standard recall for all adult patients 3 months, to closely monitor for any signs of relapse in a high-risk patient 12 months, as the active disease has been treated 28 / 46 A 65-year-old female patient with a history of generalized Stage III, Grade B periodontitis attends for a maintenance appointment. Her periodontal condition has been stable for the last 3 years. She has a dental implant at position 21, which was placed 5 years ago. Today, she reports no pain but has noticed some redness around the implant. Clinical examination of the implant at 21 reveals localized soft tissue swelling and bleeding on gentle probing at three sites around the implant. Probing depths around the implant have increased by 2mm since her last visit one year ago, with the deepest reading now being 6mm. There is no suppuration. A new periapical radiograph of the 21 implant shows no evidence of progressive bone loss when compared to the baseline radiograph taken one year after placement. According to the "Prevention and Treatment of Periodontal Diseases in Primary Care" guidance, what is the most appropriate diagnosis and immediate management plan for the implant at 21? Diagnosis: Peri-implantitis. Management: Refer immediately to the clinician who placed the implant for surgical intervention. Diagnosis: Foreign body reaction. Management: Prescribe a 7-day course of chlorhexidine 0.2% mouthwash and review in 2 weeks. Diagnosis: Peri-implantitis. Management: Initiate adjunctive systemic antibiotic therapy and perform non-surgical debridement. Diagnosis: Peri-implant mucositis. Management: Provide personalized oral hygiene instruction and perform professional mechanical plaque removal around the implant. 29 / 46 A 45-year-old patient presents with a chief complaint of a painful, swollen gum around his lower right molar. He has a history of periodontitis but has not attended for several years. Clinical examination reveals a localized, tender, erythematous swelling on the buccal aspect of tooth 47. A 7mm pocket is present on the buccal aspect, from which pus can be expressed upon gentle pressure. The tooth is tender to percussion and gives a positive response to sensibility testing with cold. What is the most appropriate immediate management for this patient? Perform an emergency pulpectomy as the tenderness to percussion indicates a primary endodontic lesion Extract tooth 47 as the presence of a periodontal abscess indicates a hopeless prognosis. Establish drainage through the pocket, perform gentle subgingival debridement of the area, and provide analgesia advice. Do not prescribe antibiotics. Prescribe a 5-day course of amoxicillin and advise the patient to return for definitive treatment once the infection has resolved. 30 / 46 A patient with excellent oral hygiene and no gingivitis attends for a routine check-up. Her BPE is 0 in all sextants. She asks if she still needs a "scale and polish" at every visit. What is the key recommendation from the guidance regarding PMPR for patients with periodontal health? PMPR should only be performed if the patient specifically requests it for cosmetic reasons. PMPR is not necessary, and the focus should be on personalized oral hygiene instruction to maintain self-care The patient should be given a prescription for a chlorhexidine mouthwash to use instead of receiving PMPR. PMPR should be carried out every 6 months regardless of clinical findings to prevent future disease 31 / 46 A new patient presents to your practice with a full-arch, screw-retained implant bridge in the upper arch, which was placed abroad 10 years ago. He has no records or radiographs. You observe significant plaque accumulation and inflamed, bleeding tissues around the prosthesis. You suspect peri-implant disease. What is the most critical first step in the examination and assessment of his peri-implant tissues? Use a BPE probe to record a BPE score for the implant prosthesis. Gently probe around the implant abutments to assess for bleeding and probing depths, and take baseline periapical radiographs. Take a panoramic radiograph to assess the bone levels around all the implants. Attempt to remove the prosthesis to clean underneath it. 32 / 46 A 48-year-old patient has a tooth with an endo-perio lesion. Tooth 36 has a deep mesial pocket of 8mm that communicates with a periapical radiolucency. The tooth is non-vital. There is no evidence of root fracture. The patient has generalized Stage II periodontitis elsewhere in the mouth. According to the 2018 classification and management principles in the guidance, what is the correct classification of the lesion and the first treatment step? Classification: Endo-periodontal lesion with root damage. Management: Extraction Classification: Endo-periodontal lesion in a patient with periodontitis. Management: Endodontic treatment first. Classification: Periodontal abscess. Management: Incision and drainage. Classification: Endo-periodontal lesion in a patient without periodontitis. Management: Periodontal surgery first. 33 / 46 A clinician is using a WHO BPE probe to screen a patient. What are the key features of this specific probe? A curved Nabers-style tip for assessing furcations. A 0.5mm ball end and markings at 3, 6, 9, and 12mm A 0.5mm ball end and black banding between 3.5-5.5mm and 8.5-11.5mm. A tapered tip and black banding between 3.5-5.5mm and 8.5-11.5mm 34 / 46 A 58-year-old male patient presents for a routine check-up. His medical history reveals he has Type 2 diabetes, which he states is "fairly well-controlled," although he is unsure of his last HbA1c reading. He smokes 15 cigarettes per day and has done so for 25 years. His chief complaint is that his "gums bleed a bit when he brushes," but he is not in any pain. Clinical examination reveals generalized moderate gingival inflammation with significant plaque and calculus deposits. A Basic Periodontal Examination (BPE) is performed with the following scores Radiographs show the most severe bone loss is approximately 40% of the root length on tooth 46, which also has a Grade II furcation involvement. The patient has crowded lower anterior teeth. Based on the information provided in the "Prevention and Treatment of Periodontal Diseases in Primary Care" guidance, what is the most appropriate initial step in this patient's management? Prescribe a course of systemic antibiotics (amoxicillin and metronidazole) as an adjunct to non-surgical therapy due to the high-risk profile. Immediately refer to a specialist for surgical management of the Grade II furcation. Initiate Step 1 of therapy, focusing on risk factor control, oral hygiene instruction using the Oral Hygiene TIPPS model, and supragingival PMPR. Complete a full mouth subgingival professional mechanical plaque removal (PMPR) over two long appointments and schedule a review in 4 weeks. 35 / 46 A clinician is using the AUDIT-C screening tool to ask a patient about their alcohol consumption. The patient scores a total of 9. According to the "Advise and Act" flowchart in the guidance, what risk category does this score fall into and what is the appropriate advice? Possible dependence; give an information leaflet and encourage them to speak to their GP or a specialist service Increasing or higher risk; discuss ways of making small changes to reduce their risk. No risk; no further action is needed. Lower risk; advise the patient their drinking level does not pose a significant risk. 36 / 46 A 60-year-old patient is undergoing Step 1 therapy for periodontitis. You are providing oral hygiene instruction using the Oral Hygiene TIPPS model. After you have TALKED about the disease and INSTRUCTED the patient on technique, what is the next crucial step in the process? SUPPORT the patient by giving them a leaflet. PLAN a schedule for their home care routine. PRESCRIBE a high-fluoride toothpaste. PRACTISE - ask the patient to demonstrate the technique in their own mouth while you observe and guide them. 37 / 46 A dental hygienist is providing supportive periodontal care for a patient with stable periodontitis. Which of the following tasks is a core component of every SPC visit? Removing the patient's dentures and cleaning them in an ultrasonic bath. Applying a local antimicrobial to all previous pocket sites Taking a new full mouth set of periapical radiographs. Updating the patient's medical and social history and reassessing risk factors. 38 / 46 A 35-year-old patient taking phenytoin for epilepsy presents with significant gingival enlargement. His BPE scores are 2s and 3s throughout. The enlarged tissue is firm, fibrotic, and covers a significant portion of the clinical crowns, making oral hygiene extremely difficult. After Step 1 therapy, including intensive oral hygiene instruction and supragingival PMPR, there is some reduction in inflammation, but the bulk of the enlarged tissue remains. What is the most appropriate next step in managing this patient's gingival enlargement? Advise the patient that the condition is permanent and he must learn to clean around it. Consult with the patient's general medical practitioner regarding possible drug substitution and consider referral for specialist periodontal care. Immediately schedule the patient for a full mouth gingivectomy in primary care. Prescribe a long-term course of 0.2% chlorhexidine mouthwash as the primary method of plaque control. 39 / 46 During a full periodontal examination, you are assessing tooth mobility on tooth 16. You place two rigid instrument handles on the buccal and palatal aspects of the tooth and can displace the crown approximately 1.5mm in a horizontal direction. There is no discernible vertical movement. How would you grade and record this mobility according to the guidance? Grade 3 Fremitus Grade 2 Grade 1 40 / 46 A 55-year-old patient with well-controlled Type 2 diabetes (last HbA1c 49 mmol/mol) and a diagnosis of generalized Stage II periodontitis asks for your advice on interdental cleaning. He has a mix of tight anterior contacts and larger posterior spaces where food gets trapped. What is the most appropriate advice according to the key recommendations in the guidance? He should use wooden sticks after every meal to remove trapped food. He should use a water flosser/oral irrigator as it is more effective than interdental brushes for patients with diabetes. Dental floss is the most effective tool and should be used for all interdental spaces. He should clean interdentally every day, using appropriately sized interdental brushes where space allows, and floss only in the spaces too small for a brush. 41 / 46 A patient presents for an examination and treatment planning for their lower right quadrant. You are presented with the following radiograph Tooth 47 is affected by periodontitis extending into the furcation, is heavily restored and has an inadequate root filling. Tooth 46 has Stage III periodontitis with a Grade III furcation lesion, extensive caries beneath a full coverage crown and a mesial periapical radiolucency. what is the most appropriate initial treatment plan for these two teeth? Extract tooth 47 due to the poor endodontics and place a new crown on tooth 46 after removing the caries. Attempt to save both teeth. Perform endodontic retreatment on both 46 and 47, followed by periodontal surgery. Extract both teeth and plan for a 3-unit implant-supported bridge from 45 to 47. Extract tooth 46 as it is unsalvageable. Then, perform non-surgical periodontal therapy and consider endodontic retreatment for tooth 47 to assess its response and strategic value. 42 / 46 Which toothbrushing instruction is most aligned with the advice in the guidance for preventing both periodontal disease and dental caries? After brushing, rinse thoroughly with water to remove all debris. Use a toothpaste with 1350-1500 ppm fluoride and 'spit, don't rinse'. Brush once a day for 4 minutes using a hard-bristled brush Use a non-fluoride toothpaste to avoid abrading the enamel 43 / 46 A patient presents with generalized gingival recession. Which of the following is NOT listed in the guidance as a potential cause? Trauma from toothbrushing. High sugar consumption. Underlying periodontitis. Tooth prominence in the arch 44 / 46 You are assessing a patient's risk of future periodontal disease progression. Which of the following is considered a non-modifiable risk factor? Sub-optimally controlled diabetes A family history of periodontitis. Smoking status. Plaque biofilm levels. 45 / 46 A dentist is referring a patient with severe periodontitis to a specialist. They are writing the referral letter. Which of the following pieces of information is LEAST critical to include in the referral letter, according to the checklist in the guidance? The brand and shade of the patient's existing crowns Details of the periodontal treatment already carried out in practice. The patient's full medical history and current medications. The periodontal diagnosis, including Stage and Grade. 46 / 46 A patient with a history of poorly controlled periodontitis is found to have a new diagnosis of rheumatoid arthritis. According to the guidance, what is the current understanding of the relationship between these two conditions? Patients with rheumatoid arthritis are immune to periodontitis. The relationship may be bi-directional, and periodontal treatment may positively influence rheumatoid arthritis activity, but definitive evidence is not yet available. There is no known link between rheumatoid arthritis and periodontitis. Treating periodontitis has been proven to cure rheumatoid arthritis. Your score is Exit